がん診療について

私たちは地域のがん診療の中心となる施設として、専門的な知識や技術を持った医師や看護師、診療放射線技師、薬剤師などの様々な分野のスペシャリストが連携・協働する集学的医療を実践しています。
外科療法
近年、治療技術や手術に用いる各種電子機器、内視鏡、ロボットなどの進歩により手術手技は大きく進歩してきています。われわれは手術の必要な患者さんに最先端の技術を提供するとともに、より安全に、可能なものはより低侵襲に、また逆に拡大手術で根治の目指せるものは各科協力し徹底的な手術を行っています。以下は、私たちが行っている手術の実施例です。
- 形態を温存、再建する手術…乳房温存・再建手術、子宮頸がんでの広汎子宮頸部全摘術(子宮体部温存)、乳がん・皮膚がん・子宮がんでのセンチネルリンパ節生検
- 胃カメラ、大腸カメラを用いた手術…早期の胃・食道・大腸がんに対する内視鏡的粘膜下層剥離術(ESD)
- 胸腔鏡を用いた手術…肺がん・胸腺腫瘍・縦隔腫瘍に対する摘出手術
- 腹腔鏡を用いた手術…胃・大腸・直腸などの消化器外科分野、卵巣・子宮などの婦人科分野、腎・前立腺などの泌尿器科分野などで最近は広く用いられています
- 手術支援ロボット(ダ・ヴィンチ)を用いた先進手術…前立腺、腎、膀胱、子宮頸部・体部、胃、直腸、肺、縦隔のがんに対して実施しています
- 機能を温存する手術…直腸・前立腺がん手術での性機能温存、卵巣腫瘍・子宮がん手術での妊孕能温存、耳鼻咽喉科分野での喉頭機能(発声・嚥下)温存、膀胱がんでの尿路再建などを行っています
- 歯肉・舌など歯科領域の腫瘍に対する手術…口腔腫瘍外科が担当
- 拡大根治手術…胸膜中皮腫に対する胸膜肺全摘術、外陰がん・子宮がんに対する骨盤内臓全摘術(婦人科、泌尿器科、消化器外科で合同手術)、後腹膜・胸腔内の軟部肉腫摘出術(腫瘍整形、消化器外科、呼吸器外科、形成外科で合同手術)など

肺がん手術(胸腔鏡手術)

前立腺がん手術 (ダヴィンチによる内視鏡手術)

子宮がんの手術
放射線療法
放射線治療は、手術療法・化学療法とともにがん治療に不可欠なものです。日本でも屈指の治療患者数(2022年:912人)である当院には、3人の放射線治療専門医、3人の医学物理士および6人の放射線治療専門技師が在籍し、北海道でもトップクラスの充実したスタッフを誇っています。
体外照射は複数のリニアックを使った最適なエネルギーのX線や電子線を使用し、副作用の少ない治療を行っています。コンピュータ制御で、がん病巣だけに集中照射しながら、周囲の正常組織にほとんど照射されない定位放射線治療(SRT2022年治療人数:脳44人、肺37人、その他20人)や強度変調放射線治療(IMRT2022年治療人数:頭頸部43人、前立腺76人、中枢神経21人、その他89人)を症例に応じて実施しています。IMRTの進化形で、より短時間の治療が可能な強度変調回転照射(VMAT)、さらに呼吸同期放射線治療や画像誘導放射線治療(IGRT)の組み合わせにより高精度の治療が可能であり、適応症例も順次拡大しています。また、症例に応じてRALSによる高線量率(HDR)やCs-137などによる低線量率(LDR)の小線源治療も行っています。形態や機能を温存し、生活の質(QOL)を維持できる放射線治療は、根治的治療はもちろん進行がんや再発・転移がんに対しても有効です。
体外照射は複数のリニアックを使った最適なエネルギーのX線や電子線を使用し、副作用の少ない治療を行っています。コンピュータ制御で、がん病巣だけに集中照射しながら、周囲の正常組織にほとんど照射されない定位放射線治療(SRT2022年治療人数:脳44人、肺37人、その他20人)や強度変調放射線治療(IMRT2022年治療人数:頭頸部43人、前立腺76人、中枢神経21人、その他89人)を症例に応じて実施しています。IMRTの進化形で、より短時間の治療が可能な強度変調回転照射(VMAT)、さらに呼吸同期放射線治療や画像誘導放射線治療(IGRT)の組み合わせにより高精度の治療が可能であり、適応症例も順次拡大しています。また、症例に応じてRALSによる高線量率(HDR)やCs-137などによる低線量率(LDR)の小線源治療も行っています。形態や機能を温存し、生活の質(QOL)を維持できる放射線治療は、根治的治療はもちろん進行がんや再発・転移がんに対しても有効です。
IMRT[強度変調放射線治療]
病巣へ放射線を集中させ、病巣の周りにある正常な組織への放射線の影響を最低限に抑え、治療を行います。

IMRT[強度変調放射線治療]

IMRT[強度変調放射線治療]
SRT[定位放射線治療]
小さな病変に3次元的に大量の放射線を集中照射し短期間で治療します。周囲の正常組織への被ばくを極力抑え、病変の部分にのみ高線量の照射が可能です。

SRT[定位放射線治療]

SRT[定位放射線治療]
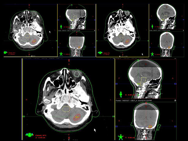
IGRT[画像誘導放射線治療]
IGRT(画像誘導放射線治療)とは、治療寝台上でX線管球を用いてX線撮影とCT撮影を行い病変部へ正確に治療を行う治療技術です。

IGRT[画像誘導放射線治療]

IGRT[画像誘導放射線治療]
多発性骨転移の治療

メタス卜ロン注〔一般名:塩化ス卜ロンチウム(89Sr)〕は、がんの骨転移による疼痛の緩和を目的とした治療用の放射性医薬品です。
この薬剤は、ス卜ロンチウム-89という放射線を出す物質(アイソ卜ープ)を含んでおり、骨の成分であるカルシウムと同じように骨に集まりやすく、骨転移部では、正常の骨より長くとどまり、その放射線の効果により痛みがやわらぐと考えられています。
化学療法
がん化学療法の進歩は目覚ましく、画期的な薬剤や治療法が次々と開発されています。また、がん細胞を攻撃する従来の抗がん剤以外にも、がん細胞が持っている特定の分子だけに作用する「分子標的治療薬」や、がん細胞が巧みに免疫から逃れて生き延びようとするのを阻止する「免疫チェックポイント阻害薬」などの新しい薬物が開発され、ますます治療の選択肢が増加しています。
これらの薬剤はがん治療における化学療法の有効性を高めると同時に、安全かつ適正に行うことに高い専門性が求められる時代になっています。当院では高度な知識を持った医師、看護師、薬剤師などの多職種が患者さんの治療に関わることにより安全・安心な治療を提供しています。
さらに当院では、外来化学療法を積極的に行っています。外来でがん化学療法を行うことの最大のメリットは、患者さんが日常生活を送りながら化学療法を受けることによって、生活の質(QOL)を維持することができることです。
具体的には、化学療法を外来で受けることで今まで通り仕事も続けられ、趣味を楽しむこともできます。
抗がん剤を無菌製剤室で調製している様子
これらの薬剤はがん治療における化学療法の有効性を高めると同時に、安全かつ適正に行うことに高い専門性が求められる時代になっています。当院では高度な知識を持った医師、看護師、薬剤師などの多職種が患者さんの治療に関わることにより安全・安心な治療を提供しています。
さらに当院では、外来化学療法を積極的に行っています。外来でがん化学療法を行うことの最大のメリットは、患者さんが日常生活を送りながら化学療法を受けることによって、生活の質(QOL)を維持することができることです。
具体的には、化学療法を外来で受けることで今まで通り仕事も続けられ、趣味を楽しむこともできます。

抗がん剤を無菌製剤室で調製している様子
最新の医療機器
MRI(Philips Gyroscan Intera / Achieva)
MRIは放射線を使わず、強い磁石と電波を使って写真を撮影する検査です。被ばくの心配がなく、様々な角度から体の断面を詳しく観察できます。

大腸カプセル内視鏡検査(-PillCam® COLON2 -)
小腸用カプセル内視鏡に続いて、平成26年1月から保険診療ができるようにりました。口から飲み込み、大腸の中を自動的に写真を撮影する、31.5X11.6mmのカプセル型内視鏡で、約10時間にわたり、4~35枚/秒の画像を送信し続けます。
日本では大腸癌は男女とも増加しており、特に女性の死亡者数第一位です。この検査は痛みがなく、体の負担が軽く、恥ずかしさもないことから、大腸癌の早期発見につながる契機になることが期待されています。
日本では大腸癌は男女とも増加しており、特に女性の死亡者数第一位です。この検査は痛みがなく、体の負担が軽く、恥ずかしさもないことから、大腸癌の早期発見につながる契機になることが期待されています。

腹部の3D画像
血管や骨・臓器などを、様々な方向の断面で表示させたり画像を立体化(3D画像)させて表示します。

64列マルチスライスCT(GE Optima CT660)
血管や骨・臓器などを、様々な方向の断面で表示させたり画像を立体化(3D画像)させて表示します。

CT コロノグラフィー
CTで画像から、大腸の3D画像や内視鏡で見ているかのような像(仮想内視鏡)を作り出します。大腸バリウム検査や内視鏡検査よりも体の負担が少なく、狭窄や癒着などで内視鏡が困難な方、内視鏡検査に不安や苦痛を感じる方にたいして行われます。

FDG-PET(島津2 Eminence G)
がんの場所や悪性度などを推測することができます。
